Việt Nam nằm trong nhóm có tỷ lệ tử vong cao vì ung thư gan, đừng bỏ qua "2 hôi, 2 ngứa, 2 đỏ" mà cơ thể đang cầu cứu
Ung thư gan có thể được phát hiện sớm nhờ những dấu hiệu bất thường ít ai ngờ tới.
Báo Thanh Niên Việt mới đây đã đăng tải bài viết có tiêu đề "Ngày càng nhiều người còn trẻ đã chết vì ung thư gan? Bác sĩ nhắc: Đừng bỏ lỡ "2 hôi, 2 ngứa, 2 đỏ" đang báo bệnh", nội dung cụ thể như sau:
Ung thư gan đang trở thành gánh nặng sức khỏe toàn cầu, đứng thứ 3 trong các loại ung thư. GLOBOCAN 2022 chỉ ra thế giới ghi nhận hơn 866.000 ca mắc mới. Tại Việt Nam, mỗi năm có trên 24.000 ca mắc, thuộc nhóm quốc gia có tỷ lệ tử vong cao.
Đáng lo hơn, bệnh ngày càng có xu hướng trẻ hóa. Các chuyên gia gan mật cho biết tình trạng này xuất phát từ nhiều nguyên nhân, nhưng nhóm thói quen xấu về ăn uống, lối sống chiếm phần lớn. Càng nguy hiểm khi gan được xem như “cơ quan câm” vì tổn thương giai đoạn đầu hiếm khi gây đau rõ rệt. Khi triệu chứng bùng phát, bệnh thường đã tiến triển nhanh.
Vì vậy, dù còn trẻ, xin đừng bỏ qua “2 đỏ, 2 ngứa, 2 hôi” dưới đây, bởi chúng có thể là tín hiệu gan đang cầu cứu:
2 dấu hiệu đỏ cảnh báo gan tổn thương
- Lòng bàn tay đỏ bất thường: Nếu phần trung tâm lòng bàn tay hoặc toàn bộ bàn tay ửng đỏ, xuất hiện các đốm hoặc vệt như mạng nhện, hãy cẩn trọng. Khi gan suy giảm chức năng, khả năng chuyển hóa hormone bị rối loạn, làm mao mạch giãn nở và gây đỏ da. Nếu dấu hiệu này kéo dài nhiều tuần, đặc biệt kèm mệt mỏi hoặc vàng da, bạn nên đi kiểm tra gan sớm.
Ảnh minh họa
- Nước tiểu đỏ nâu hoặc vàng sậm: Gan khỏe sẽ xử lý bilirubin hiệu quả. Nhưng khi cơ quan này gặp vấn đề, sắc tố có thể tích tụ và bị đào thải qua nước tiểu, khiến màu chuyển sang vàng đậm, nâu hoặc đỏ. Nếu hiện tượng này đi kèm nước tiểu nhiều bọt, chán ăn hoặc sụt cân không rõ lý do, đừng chần chừ khám chuyên khoa.
2 kiểu ngứa không nên xem nhẹ
- Ngứa da dai dẳng: Gan suy yếu khiến độc tố tích tụ trong máu, lâu dần kích thích các đầu dây thần kinh dưới da và gây ngứa. Điểm khác biệt là cơn ngứa thường kéo dài, dễ tái phát và ít đáp ứng với thuốc bôi ngoài da. Ngứa kèm vàng da hoặc nổi mẩn càng cần được kiểm tra sớm để phát hiện sớm ung thư gan.
- Mắt khô và ngứa kèm nhạy sáng: Không ít người nghĩ đây chỉ là dấu hiệu mỏi mắt do dùng thiết bị điện tử. Tuy nhiên, khi gan hoạt động kém, mắt có thể trở nên khô, dễ kích ứng và thậm chí hơi ngả vàng. Nếu đã nghỉ ngơi mà vẫn không cải thiện, bạn nên cân nhắc kiểm tra chức năng gan thay vì chỉ đi khám mắt.
2 mùi hôi có thể là tín hiệu nguy hiểm của ung thư gan
- Hơi thở hôi dù vệ sinh kỹ: Khi gan không lọc bỏ độc tố hiệu quả, các hợp chất có mùi có thể tích tụ và thoát ra qua hơi thở. Nếu đánh răng đều mà mùi vẫn nặng, thậm chí kèm vị đắng miệng, hãy chú ý hơn đến sức khỏe gan.
Ảnh minh họa
- Mồ hôi nặng mùi hơn bình thường: Gan suy giảm buộc cơ thể tăng thải độc qua da. Điều này có thể khiến mồ hôi nhiều hơn, đặc hơn và có mùi khó chịu dù bạn không vận động mạnh. Nếu mùi cơ thể thay đổi rõ rệt trong thời gian ngắn, tốt nhất nên đi kiểm tra tổng quát.
Điều quan trọng cần nhớ: Ung thư gan nguy hiểm vì tiến triển âm thầm nhưng không phải không có dấu hiệu. Phát hiện càng sớm, cơ hội điều trị càng cao. Bên cạnh việc chú ý các bất thường trên cơ thể, hãy duy trì khám sức khỏe định kỳ, hạn chế rượu bia, kiểm soát cân nặng và bảo vệ lá gan từ những thói quen nhỏ nhất mỗi ngày.
Trang tin Znews cũng có bài viết đưa thông tin tương tự, nội dung cụ thể như sau:
Tháng 10/2023, ông Đ.H.M. (65 tuổi) nhập viện vì sốt kéo dài kèm đau vùng hạ sườn phải. Ban đầu, các triệu chứng khiến người bệnh nghĩ nhiều đến tình trạng nhiễm trùng thông thường. Tuy nhiên, đây lại là dấu hiệu cảnh báo đợt tiến triển của ung thư gan trên nền viêm gan B mạn tính.
Theo hồ sơ bệnh án, bệnh nhân có tiền sử viêm gan B nhiều năm, đang điều trị bằng Tenofovir 300 mg/ngày. Năm 2019, ông được chẩn đoán ung thư biểu mô tế bào gan (UTBMTBG) và đã trải qua 6 lần nút mạch hóa chất (TACE) tại các cơ sở y tế tuyến trung ương và địa phương.
Sau lần TACE thứ 6 vào tháng 10/2023, bệnh nhân xuất hiện đau nhiều vùng hạ sườn phải kèm sốt. Các bác sĩ xác định người bệnh bị áp xe gan và điều trị nội khoa ổn định trước khi chuyển đến Trung tâm Y học hạt nhân và Ung bướu, Bệnh viện Bạch Mai, để tiếp tục theo dõi và đánh giá hướng điều trị.
Khi nhập viện, bệnh nhân tỉnh táo, thể trạng trung bình, sinh hoạt bình thường, chỉ số toàn trạng PS = 0. Các xét nghiệm cơ bản không ghi nhận bất thường rõ rệt, song chỉ số AFP - một dấu ấn ung thư gan - tăng rất cao, lên tới 648,1 ng/ml. Kết quả đánh giá cho thấy bệnh nhân mắc UTBMTBG giai đoạn BCLC B, xơ gan Child-Pugh A, viêm gan B, đã điều trị TACE nhiều lần.
Trước nguy cơ bệnh tiến triển và không còn nhiều lựa chọn can thiệp tại chỗ, hội đồng ung thư tiêu hóa thống nhất chuyển hướng sang điều trị toàn thân bằng phác đồ phối hợp Atezolizumab và Bevacizumab. Đây là phác đồ kết hợp giữa liệu pháp miễn dịch và thuốc kháng tạo mạch, được sử dụng theo chu kỳ 21 ngày.
Trong suốt quá trình điều trị, người bệnh dung nạp thuốc tốt, không gặp tác dụng phụ nghiêm trọng. Bệnh nhân không mệt mỏi, không đau bụng, ăn uống tốt, tăng 3 kg và duy trì sinh hoạt gần như bình thường.
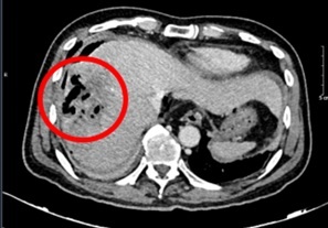
![]() |
|
Hình ảnh chụp cắt lớp vi tính ổ bụng của bệnh nhân. Ảnh: BVCC. |
Đáng chú ý, chỉ số AFP giảm mạnh theo thời gian, từ 648,1 ng/ml vào thời điểm bắt đầu điều trị xuống còn 9,2 ng/ml sau 20 chu kỳ, tiệm cận ngưỡng bình thường. Các kết quả chụp cắt lớp vi tính cũng ghi nhận khối u gan thu nhỏ rõ rệt, không còn tăng sinh mạch hay huyết khối. Kích thước u giảm từ 81 x 51 mm xuống còn khoảng 22 x 45 mm. Theo tiêu chuẩn RECIST 1.1, bệnh nhân đạt đáp ứng một phần.
Theo các bác sĩ, đây là trường hợp ung thư gan giai đoạn trung gian đã điều trị TACE nhiều lần nhưng vẫn đáp ứng rất tốt với phác đồ miễn dịch - kháng tạo mạch. Kết quả này không chỉ giúp kiểm soát bệnh hiệu quả mà còn mở ra khả năng đưa người bệnh từ nhóm không còn chỉ định phẫu thuật trở lại diện có thể cân nhắc can thiệp trong tương lai.
Trong thời gian tới, bệnh nhân sẽ tiếp tục được duy trì phác đồ điều trị hiện tại và theo dõi chặt chẽ để phát hiện sớm các thay đổi bất thường, hướng tới mục tiêu kiểm soát bệnh lâu dài.
Theo số liệu GLOBOCAN 2022, ung thư gan là một trong 6 loại ung thư phổ biến nhất thế giới, với hơn 866.000 ca mắc mới và gần 759.000 ca tử vong mỗi năm. Tại Việt Nam, ung thư gan nằm trong nhóm 3 ung thư thường gặp nhất, với khoảng 24.500 ca mắc mới và hơn 23.300 ca tử vong.
PGS.TS Phạm Cẩm Phương, Trung tâm Y học hạt nhân và Ung bướu, Bệnh viện Bạch Mai, cho biết điều trị ung thư gan hiện nay cần cá thể hóa theo giai đoạn bệnh và thể trạng người bệnh. Phẫu thuật vẫn là phương pháp chủ đạo ở giai đoạn sớm.
"Tuy nhiên, với các trường hợp tiến triển hoặc không còn chỉ định can thiệp tại chỗ, điều trị toàn thân, đặc biệt là các phác đồ kết hợp miễn dịch và kháng tạo mạch như Atezolizumab - Bevacizumab, đang cho thấy hiệu quả rõ rệt trong cải thiện thời gian sống và kiểm soát bệnh", BS Cẩm Phương nói.
Các bác sĩ khuyến cáo người dân nên hạn chế uống rượu bia, đồng thời duy trì khám sức khỏe định kỳ, tầm soát chức năng gan 1-2 lần mỗi năm, đặc biệt ở nhóm có thói quen uống rượu thường xuyên. Việc chủ động kiểm tra giúp phát hiện sớm tổn thương gan, từ đó can thiệp kịp thời và giảm nguy cơ tiến triển thành xơ gan hoặc ung thư gan, những biến chứng có thể đe dọa tính mạng.

