Đau đầu dai dẳng, nam sinh 19 tuổi khi đến viện mới biết bị ung thư
Nam sinh 19 tuổi liên tục đau đầu vùng trán, chóng mặt, mệt mỏi kéo dài và bất ngờ được chẩn đoán mắc u nguyên bào thần kinh hiếm gặp ở người trưởng thành.
Ngày 2/10/2205, báo điện tử VTC có đăng bài: "Đau đầu dai dẳng, nam sinh 19 tuổi đến viện mới biết bị ung thư", cho biết trường hợp của nam sinh là một dạng ung thư ác tính rất hiếm gặp ở người lớn
Từ tháng 3/2025, nam thanh niên 19 tuổi, trú tại Phú Thọ thấy đau âm ỉ vùng trán, mức độ tăng dần theo thời gian, đôi khi kèm theo những cơn đau nhói lan tỏa. Đồng thời, anh cảm thấy mệt mỏi kéo dài, hoa mắt, chóng mặt ngày càng nặng.
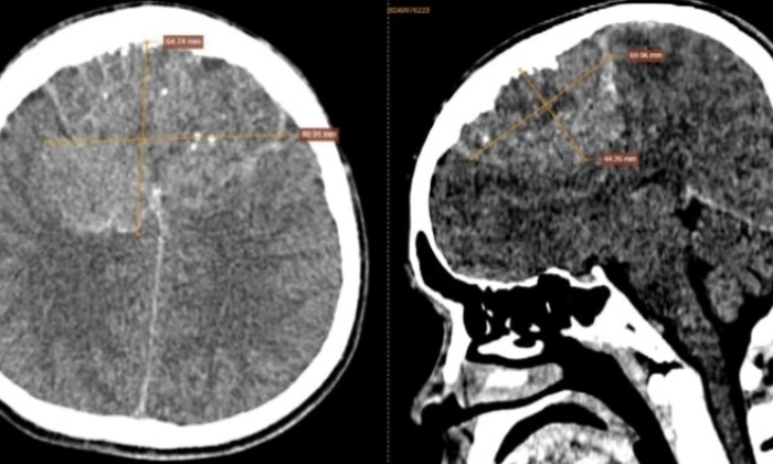
Sau khi đi khám tại cơ sở y tế địa phương, anh được chỉ định chụp CT sọ não không tiêm thuốc cản quang. Kết quả chụp cho thấy một khối bất thường vùng trán sát bản xương sọ, có dạng mô mềm, bờ không đều, ranh giới rõ ràng nhưng kèm phù não nhẹ. Bên trong khối u xuất hiện nhiều nốt vôi hóa và ổ hoại tử, kích thước lên tới 80 x 65 x 55 mm.
Hình ảnh được gửi hội chẩn với trung tâm chẩn đoán hình ảnh, hệ thống y tế Medlatec. Tại đây, các bác sĩ nhận định nhiều khả năng là u màng não có dấu hiệu chuyển dạng ác tính, xâm lấn xương trán và nhu mô não trán - đỉnh phải.
Bệnh nhân được chuyển tuyến phẫu thuật và sinh thiết khối u. Kết quả mô bệnh học và hóa mô miễn dịch xác định đây là u nguyên bào thần kinh (Neuroblastoma) – một dạng ung thư ác tính rất hiếm gặp ở người lớn.

Theo bác sĩ Trần Thị Thu, Trung tâm Chẩn đoán hình ảnh Medlatec, u nguyên bào thần kinh là dạng ung thư phát triển từ các tế bào thần kinh chưa trưởng thành, thường xuất hiện ở hệ thần kinh giao cảm. Đây là một trong ba loại ung thư phổ biến nhất ở trẻ em, chỉ sau bệnh bạch cầu cấp và các khối u ác tính trong hệ thần kinh trung ương.
Thống kê cho thấy, 95% ca bệnh được phát hiện trước 10 tuổi, tuổi trung bình là 22 tháng. Trường hợp như bệnh nhân ở độ tuổi 19 là vô cùng hy hữu.
Theo bác sĩ Thu, tiên lượng bệnh phụ thuộc vào nhiều yếu tố như tuổi chẩn đoán, giai đoạn phát hiện, vị trí khối u và các đặc điểm sinh học phân tử. Nếu phát hiện sớm và được phẫu thuật triệt để, tỷ lệ sống sau 5 năm có thể lên đến 85%.
Trường hợp bệnh nhân trên là minh chứng rõ ràng cho vai trò quan trọng của chẩn đoán hình ảnh hiện đại và sự phối hợp kịp thời giữa các cơ sở y tế.
Để phòng tránh những rủi ro do u nguyên bào thần kinh và các bệnh lý nguy hiểm khác, bác sĩ khuyến cáo người dân: Không chủ quan với các triệu chứng bất thường như đau đầu kéo dài, mệt mỏi, chóng mặt, sụt cân không rõ nguyên nhân, hay xuất hiện khối u bất thường ở bụng, ngực, cổ.
Duy trì lối sống lành mạnh, ăn uống đủ chất, nghỉ ngơi hợp lý và vận động vừa sức. Khám sức khỏe định kỳ, đặc biệt với trẻ nhỏ hoặc người có tiền sử gia đình mắc các hội chứng di truyền liên quan.
Trước đó, ngày 30/9, báo Gia đình & Xã hội cũng đăng tải bài viết: "Đi khám vì đau đầu, thanh niên 19 tuổi ở Phú Thọ phát hiện bệnh nguy hiểm hiếm gặp", thông tin về trường hợp trên như sau:
Liên tục xuất hiện tình trạng đau đầu vùng trán kèm mệt mỏi, hoa mắt chóng mặt tăng dần, nam thanh niên nhận chẩn đoán mắc u nguyên bào thần kinh.
Từ tháng 3/2025, bệnh nhân nam N.D.A. (19 tuổi, trú tại Phú Thọ) xuất hiện triệu chứng đau đầu âm ỉ vùng trán, mức độ tăng dần, đau liên tục và đôi khi kèm theo cơn đau nhói lan tỏa ra xung quanh. Song song, bệnh nhân ghi nhận tình trạng mệt mỏi, hoa mắt và chóng mặt tiến triển nặng hơn theo thời gian.
Bệnh nhân đến thăm khám tại một cơ sở y tế địa phương và được chỉ định chụp cắt lớp vi tính (CT) sọ não không tiêm thuốc cản quang. Hình ảnh phim chụp được gửi hội chẩn trực tuyến với Trung tâm Chẩn đoán hình ảnh - Hệ thống Y tế Medlatec.

Kết quả ghi nhận: vùng trán sát bản xương sọ xuất hiện khối tổn thương tỷ trọng mô mềm, bờ không đều, có phần bờ dạng thùy múi, ranh giới tương đối rõ. Quanh tổn thương có phù não nhẹ ở nhu mô bờ dưới, nghi ngờ xâm lấn nhu mô não vùng trán - đỉnh phải. Bên trong khối ghi nhận nhiều nốt vôi hóa, kèm vài ổ giảm tỷ trọng dạng hoại tử. Kích thước tổn thương đo được khoảng 80 x 65 x 55 mm.
Dựa trên hình ảnh, các bác sĩ định hướng nhiều khả năng là u màng não vùng trán, có dấu hiệu chuyển dạng ác tính, xâm lấn xương trán và nhu mô não trán - đỉnh phải.
Bệnh nhân được chuyển tuyến để phẫu thuật lấy khối u. Mẫu bệnh phẩm sau đó được phân tích mô bệnh học và hóa mô miễn dịch. Kết quả xác định chẩn đoán là u nguyên bào thần kinh (Neuroblastoma).
U nguyên bào thần kinh nguy hiểm thế nào?
Theo BS Trần Thị Thu - Trung tâm Chẩn đoán hình ảnh của bệnh viện cho biết, u nguyên bào thần kinh (Neuroblastoma) là khối u ác tính phát triển từ các tế bào thần kinh chưa trưởng thành (neuroblasts), thường gặp trong hệ thần kinh giao cảm. Đây là một trong ba loại ung thư phổ biến nhất ở trẻ em, chỉ đứng sau bệnh bạch cầu cấp (Leukemia) và các khối u ác tính khác của hệ thần kinh trung ương. Tỷ lệ tử vong liên quan đến bệnh này chiếm khoảng 15%.
Triệu chứng lâm sàng của bệnh rất đa dạng, phụ thuộc vào vị trí khối u. U vùng bụng có thể gây đau bụng, chướng bụng, khối u sờ thấy khi thăm khám; u trung thất có thể gây khó thở, ho kéo dài; u vùng cổ có thể xuất hiện dưới dạng khối bất thường, đôi khi kèm hội chứng Horner (sụp mi, co đồng tử, giảm tiết mồ hôi). Ngoài ra, bệnh nhân có thể gặp các biểu hiện toàn thân như sụt cân, thiếu máu, sốt kéo dài, đau xương do di căn.
Cảnh giác với dấu hiệu bệnh u nguyên bào thần kinh
Theo thông kê, tuổi mắc trung bình là 22 tháng; khoảng 95% trường hợp được chẩn đoán trước 10 tuổi. Trường hợp bệnh nhân N.D.A (19 tuổi) cho thấy u nguyên bào thần kinh ở người trưởng thành là vô cùng hiếm gặp.
Bác sĩ khuyến cáo, người dân cần:
- Không chủ quan với các triệu chứng bất thường: đau đầu kéo dài, hoa mắt, chóng mặt, sụt cân, mệt mỏi, khối u bất thường vùng bụng hoặc ngực cần được thăm khám sớm;
- Duy trì lối sống lành mạnh: chế độ dinh dưỡng hợp lý, nghỉ ngơi đầy đủ, tập luyện thể dục vừa sức sẽ hỗ trợ nâng cao thể trạng trong quá trình điều trị;
Khám sức khỏe định kỳ: đặc biệt ở nhóm trẻ nhỏ hoặc người có tiền sử gia đình mắc bệnh lý di truyền liên quan đến u nguyên bào thần kinh.