Nữ sinh 20 tuổi đau cổ, đi khám phát hiện ung thư dạ dày đã di căn toàn thân: Đừng bỏ qua dấu hiệu này
Chính những thói quen tưởng như bình thường này khiến dạ dày ngày càng "mong manh" hơn so với tưởng tượng.
Báo Thanh niên Việt ngày 10/3/2026 đăng bài: "Nữ sinh 20 tuổi đau cổ, đi khám phát hiện ung thư dạ dày đã di căn toàn thân: Đừng bỏ qua dấu hiệu này", nội dung cho biết:
Bỏ bữa sáng, trưa ăn vội đồ đặt ngoài, tối lại ăn khuya… Đây là thói quen ăn uống khá phổ biến của nhiều người trẻ hiện nay.
Nhiều người bắt đầu ngày mới bằng cà phê, buổi trưa uống nước lạnh, tối lại dùng nước ép hoặc đồ ăn nhanh. Chính những thói quen tưởng như bình thường này khiến dạ dày ngày càng “mong manh” hơn so với tưởng tượng.
Không khó hiểu khi từ khóa “ung thư dạ dày” ngày càng xuất hiện nhiều trên các bảng xếp hạng tìm kiếm. Cũng giống nhiều loại ung thư khác, điều đáng sợ nhất của ung thư dạ dày là khi phát hiện thì bệnh thường đã ở giai đoạn muộn.

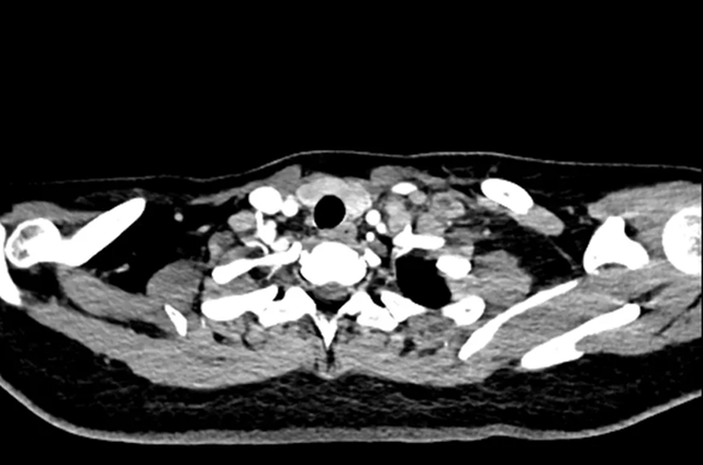
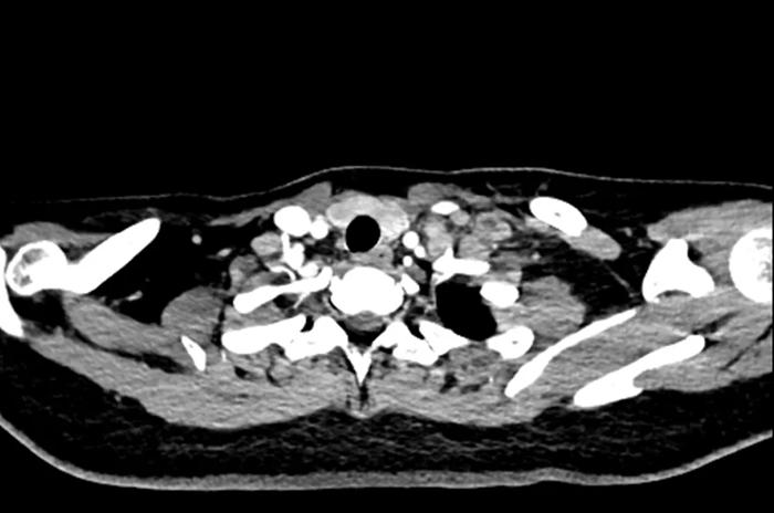
Hình ảnh chụp CT của nữ sinh 20 tuổi
Gần đây, một phụ nữ ngoài 20 tuổi đến khám tại Bệnh viện Nhân dân Đông Hoản (Quảng Đông, Trung Quốc) vì phát hiện khối u ở cổ trái trong khoảng một tuần.
Trước đó, cô cảm thấy vùng cổ đau nhẹ và sờ thấy một khối cứng kích thước gần bằng quả trứng gà. Khối u ấn vào có cảm giác đau nhưng không đỏ, không sưng. Điều đáng nói là cô không hề có triệu chứng tiêu hóa rõ ràng như đau bụng, đầy hơi hay sốt, ăn uống và đại tiện vẫn bình thường.
Sau khi nhập viện để kiểm tra toàn diện, bác sĩ tiến hành nội soi dạ dày và sinh thiết hạch cổ. Kết quả giải phẫu bệnh cho thấy bệnh nhân mắc ung thư biểu mô tuyến kém biệt hóa, trong đó có thành phần ung thư tế bào nhẫn - một dạng ung thư dạ dày ác tính cao.
Chụp CT cho thấy khối u đã di căn toàn thân, không còn chỉ định phẫu thuật. Các bác sĩ chỉ có thể đề nghị điều trị bằng hóa trị, xạ trị hoặc liệu pháp miễn dịch nhằm kiểm soát bệnh.
Trường hợp khác: Phát hiện sớm nên tiên lượng tốt
Trái ngược với trường hợp trên, một phụ nữ hơn 50 tuổi đến khám cũng tại bệnh viện này vào tháng 12/2025 vì bị đau âm ỉ vùng thượng vị trong khoảng một năm.
Cơn đau xuất hiện từng đợt, không theo quy luật, đôi khi kèm theo ợ chua và ợ hơi, nhưng bệnh nhân không buồn nôn, không nôn, không đi ngoài phân đen và cũng không sụt cân.
Khi nội soi dạ dày, bác sĩ phát hiện tổn thương dạng gồ ở vùng hang vị. Nội soi chi tiết bằng thiết bị độ phân giải cao và nhuộm màu điện tử cho thấy cấu trúc vi mạch và vi bề mặt bất thường, nghi ngờ ung thư dạ dày giai đoạn sớm.
Sau đó, bệnh nhân được điều trị bằng phẫu thuật bóc tách niêm mạc qua nội soi. Kết quả giải phẫu bệnh xác nhận tổn thương là loạn sản mức độ cao, khối u chỉ khu trú ở lớp niêm mạc, chưa xâm lấn mạch máu hay thần kinh.
Nhờ phát hiện sớm và điều trị kịp thời, tiên lượng của bệnh nhân rất tốt, chỉ cần tái khám nội soi sau một năm.
Hai trường hợp trên cho thấy một thực tế: ung thư dạ dày nếu phát hiện sớm hoàn toàn có thể chữa khỏi, nhưng nếu phát hiện muộn, cơ hội điều trị sẽ giảm đáng kể.
Ung thư dạ dày rất dễ “ngụy trang”
Các chuyên gia cho biết ung thư dạ dày giai đoạn đầu thường không có triệu chứng điển hình. Người bệnh có thể chỉ cảm thấy: đầy bụng, ợ chua, ợ hơi, khó tiêu nhẹ.
Những biểu hiện này rất giống với bệnh dạ dày thông thường, nên nhiều người chủ quan.
Tuy nhiên, sự khác biệt về tiên lượng lại rất lớn. Tỷ lệ sống sau 5 năm của ung thư dạ dày giai đoạn sớm có thể trên 90%, trong khi giai đoạn muộn chỉ dưới 30%.

Một số yếu tố được xem là nguy cơ cao gồm:
- Nhiễm vi khuẩn Helicobacter pylori (HP).
- Viêm dạ dày teo mạn tính.
- Polyp dạ dày.
- Chế độ ăn nhiều muối, đồ muối chua.
- Tiền sử gia đình có người mắc ung thư dạ dày.
Theo các bác sĩ, phương pháp hiệu quả nhất để phát hiện ung thư dạ dày sớm là nội soi dạ dày.
Phương pháp này cho phép quan sát trực tiếp niêm mạc dạ dày, sinh thiết tổn thương nghi ngờ, phát hiện ung thư sớm với tỷ lệ hơn 95%.
Nếu phát hiện polyp hoặc tổn thương tiền ung thư, bác sĩ có thể cắt bỏ ngay trong lúc nội soi, giúp ngăn chặn nguy cơ tiến triển thành ung thư.
Hiện nay, nội soi dạ dày không đau chỉ mất vài phút, người bệnh hầu như không cảm thấy khó chịu.
Những ai nên nội soi dạ dày?
Những người từ 45 tuổi trở lên và có ít nhất một yếu tố nguy cơ sau đây nên đặc biệt chú ý:
- Nhiễm vi khuẩn HP.
- Viêm dạ dày teo, loét dạ dày hoặc polyp dạ dày.
- Có người thân bậc một mắc ung thư dạ dày.
- Thường xuyên ăn mặn, đồ muối chua, hút thuốc hoặc uống rượu nhiều.
- Đau vùng thượng vị kéo dài, nhanh no, sụt cân, thiếu máu hoặc đi ngoài phân đen trên 2 tuần.
Người bình thường: đánh giá nguy cơ từ 40 tuổi, nên nội soi lần đầu ở tuổi 45. Nhóm nguy cơ cao: nội soi mỗi 1-2 năm. Người có tổn thương tiền ung thư: kiểm tra lại sau 6-12 tháng.
Đừng để bệnh dạ dày nhỏ trở thành ung thư
Ung thư dạ dày không hình thành trong một sớm một chiều. Thông thường, bệnh phát triển qua nhiều giai đoạn từ viêm dạ dày - tổn thương niêm mạc - tiền ung thư - ung thư.
Vì vậy, việc chú ý các triệu chứng nhỏ, thay đổi lối sống và kiểm tra định kỳ có thể giúp ngăn chặn nguy cơ từ sớm.
Các chuyên gia nhấn mạnh: phòng ngừa luôn là phương pháp điều trị tốt nhất, đừng đợi đến khi bệnh dạ dày trở nên nghiêm trọng mới đi khám, khi đó có thể đã bỏ lỡ “thời điểm vàng” để điều trị.
Chuyên trang Đời sống & Pháp luật trước đó cũng đăng bài: "Thiếu nữ 19 tuổi mắc ung thư dạ dày vì ăn món thịt thơm nức mũi, "vạn người mê" 4 lần mỗi tuần", đưa tin về một trường hợp tương tự với nội dung như sau:
Ung thư dạ dày đang ngày càng trẻ hóa. Trường hợp của Xiaoli, một cô gái 19 tuổi, là lời cảnh báo rõ ràng cho thói quen ăn uống tưởng như vô hại của nhiều người trẻ hiện nay.
Theo Chao News, Xiaoli đến từ Vũ Hán và hiện sống cùng bố mẹ tại Hàng Châu (Chiết Giang, Trung Quốc). Cô là sinh viên, rất quảng giao và đam mê ẩm thực. Đặc biệt yêu thích các món thịt nướng. Xiaoli thường ăn thịt nướng trung bình 4 lần mỗi tuần. Lúc thì ăn ở tiệm, lúc lại tự nướng trên bếp nhỏ hoặc bếp than ở nhà. Cô còn có sở thích để thịt nướng hơi cháy vì cho rằng thơm, ngon hơn.
Thời gian gần đây, Xiaoli bắt đầu chán ăn, bụng đầy trướng, vùng thượng vị khó chịu kéo dài. Cho rằng mình khó tiêu, cô đi khám qua loa ở một phòng khám nhỏ gần nhà và được kê thuốc nhưng uống mãi không thấy đỡ.
Lo lắng trước tình trạng của con gái, gia đình đã đưa Xiaoli đến Khoa Phẫu thuật Tiêu hóa của bệnh viện Đa khoa số 1 trực thuộc Trường Y Đại học Chiết Giang (Trung Quốc). Sau khi làm các xét nghiệm chuyên sâu, bác sĩ nghi ngờ tổn thương ác tính. Nội soi dạ dày và sinh thiết mô bệnh học sau đó xác nhận Xiaoli mắc ung thư dạ dày. Kết quả khiến cả gia đình bàng hoàng. Bởi cô mới 19 tuổi, mới vào đại học chưa bao lâu, còn cả tương lai phía trước.
Tại sao ăn quá nhiều thịt nướng lại gây ung thư dạ dày?
Giáo sư Qin Jichao, Trưởng khoa Phẫu thuật Tiêu hóa, là người trực tiếp điều trị cho Xiaoli. Ông cho biết bệnh viện từng tiếp nhận cả những bệnh nhân ung thư dạ dày trẻ hơn. Theo ông, tỷ lệ mắc ung thư dạ dày ở người trẻ đang gia tăng rõ rệt. Đây không còn là hiện tượng cá biệt mà đã trở thành xu hướng trên toàn cầu.
Xiaoli được phẫu thuật xâm lấn tối thiểu bằng phương pháp cắt bỏ dạ dày nội soi kèm bóc tách màng ngăn. Phương pháp này giúp loại bỏ triệt để mô nuôi khối u và các cấu trúc liên quan. Ca phẫu thuật giúp cô giữ được tính mạng. Tuy nhiên, hai phần ba dạ dày đã bị cắt bỏ. Điều này sẽ ảnh hưởng lâu dài đến sinh hoạt và chất lượng cuộc sống.
Nói về nguyên nhân, Giáo sư Qin Jichao nhấn mạnh thói quen ăn uống của Xiaoli là "thủ phạm". Theo ông, thịt nướng, đặc biệt là thịt nướng ở nhiệt độ quá cao hoặc bị cháy xém, có thể sinh ra nhiều chất gây hại cho niêm mạc dạ dày. Việc ăn thường xuyên trong thời gian dài khiến niêm mạc dạ dày liên tục bị k:ích th:ích và tổn thương. Từ đó làm tăng nguy cơ viêm mạn tính và tiến triển thành ung thư.
Ngoài đồ nướng, các thực phẩm muối chua cũng là nhóm thực phẩm cần đặc biệt lưu ý. Những thực phẩm này có thể chứa nitrit. Đây là chất được xem là yếu tố nguy cơ trong ung thư dạ dày khi tích lũy lâu dài. Giáo sư Qin Jichao cho biết người hút thuốc lá cũng có tỷ lệ mắc ung thư dạ dày cao hơn so với người không hút.
Cảnh giác với các dấu hiệu ung thư dạ dày
Ung thư dạ dày là một trong những loại ung thư phổ biến nhất trên toàn cầu. Theo số liệu từ GLOBOCAN 2022, thế giới ghi nhận hơn 1,12 triệu ca mắc mới và khoảng 768.000 ca tử vong do căn bệnh này mỗi năm.
Giáo sư Qin Jichao cảnh báo nguyên nhân gây bệnh liên quan tới nhiều yếu tố, có tính di truyền cao. Vì vậy cần khám sức khỏe định kỳ, không xem nhẹ và tốt nhất đi nội soi dạ dày khi có các dấu hiệu ung thư dạ dày dưới đây:
- Chán ăn kéo dài, ăn nhanh no hơn trước
- Đầy hơi, khó tiêu, tức vùng thượng vị sau ăn
- Đau âm ỉ vùng bụng trên, cơn đau lặp lại nhiều lần
- Buồn nôn hoặc nôn sau ăn, không rõ nguyên nhân
- Sụt cân không chủ ý trong thời gian ngắn
- Mệt mỏi kéo dài, da xanh xao do thiếu máu
- Phân đen hoặc có dấu hiệu chảy máu tiêu hóa
Đặc biệt lưu ý khi các triệu chứng xuất hiện đồng thời, kéo dài và không cải thiện dù đã dùng thuốc dạ dày thông thường.
