Người đàn ông 24 tuổi đột nhiên mù lòa, bác sĩ chỉ đích danh "thủ phạm" là loại nước hiếm người trẻ nào không mê
"Mọi thứ trước mắt đột nhiên rất lạ, mắt phải của tôi tối sầm lại, không thể nhìn thấy gì. Tôi hoảng loạn nhờ người đưa đến bệnh viện ngay lập tức" - người đàn ông này kể lại.
Theo nguồn tin báo Người Đưa Tin, tối 18/4, một nam thanh niên 24 tuổi tại Phúc Châu (Trung Quốc) bất ngờ mất thị lực hoàn toàn ở mắt phải chỉ trong tích tắc, dù trước đó không gặp bất kỳ chấn động nào. Sự việc được các bác sĩ xác định là một ca tắc động mạch võng mạc trung tâm, còn gọi là “đột quỵ mắt” – tình trạng cấp cứu hiếm gặp nhưng đặc biệt nguy hiểm, nhất là ở người trẻ.
Theo thông tin từ bệnh viện tiếp nhận, bệnh nhân A Minh nhập viện trong trạng thái mắt phải không còn khả năng cảm nhận ánh sáng, đồng tử giãn rộng và mất phản xạ. Ngay sau khi thăm khám, các bác sĩ kết luận anh bị tắc nghẽn động mạch võng mạc trung tâm – một trong những bệnh lý nhãn khoa nghiêm trọng nhất do võng mạc rất nhạy cảm với tình trạng thiếu oxy.
Sau quá trình can thiệp khẩn cấp với nhiều nỗ lực từ đội ngũ y tế, thị lực trung tâm của mắt phải đã có dấu hiệu phục hồi. Tuy nhiên, các bác sĩ cho biết cục huyết khối mỡ gây tắc nghẽn vẫn chưa được loại bỏ hoàn toàn mà chỉ di chuyển đến vị trí xa hơn trong hệ mạch. Điều này đồng nghĩa với nguy cơ bệnh nhân có thể gặp phải các khiếm khuyết thị trường cục bộ trong tương lai. Theo nhận định chuyên môn, tiên lượng của “đột quỵ mắt” thường rất xấu và khả năng phục hồi thị lực hiếm khi vượt quá mức 0,1.
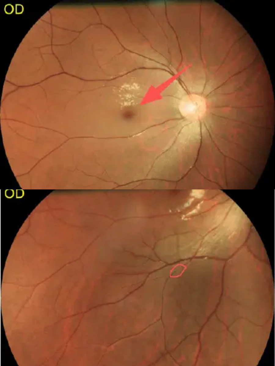
Tình trạng "đột quỵ mắt" của A Minh
Chia sẻ về thời điểm phát hiện bất thường, A Minh cho biết anh rơi vào trạng thái hoảng loạn khi thị lực biến mất đột ngột. “Nếu không đi ngay, có lẽ mình sẽ mù lòa mãi mãi”, anh nói trong tâm trạng lo sợ khi nhờ người đưa đến bệnh viện.
Ban đầu, nam thanh niên cho rằng tình trạng của mình là điều khó hiểu do không có tiền sử bệnh lý. Tuy nhiên, sau khi khai thác thêm về thói quen sinh hoạt, các bác sĩ đã xác định yếu tố nguy cơ đáng chú ý đến từ chế độ ăn uống. Theo đó, A Minh thừa nhận thường xuyên sử dụng trà sữa với tần suất 4–5 cốc mỗi tuần, chủ yếu là các loại nhiều đường, nhiều topping và hàm lượng chất béo cao.
Các bác sĩ cho biết, dù không thể khẳng định đây là nguyên nhân duy nhất, việc tiêu thụ đồ uống chứa lượng lớn đường và chất béo trong thời gian dài là yếu tố quan trọng góp phần làm tăng độ nhớt của máu, gây rối loạn lipid máu và thúc đẩy hình thành các khối mỡ trong lòng mạch. Khi các khối này di chuyển và mắc kẹt tại động mạch võng mạc, nguồn cung cấp oxy và dưỡng chất cho võng mạc sẽ bị gián đoạn gần như ngay lập tức.
Theo các chuyên gia, đột quỵ mắt vốn được xem là bệnh lý thường gặp ở người lớn tuổi có bệnh nền như tăng huyết áp, đái tháo đường hoặc rối loạn mỡ máu. Tuy nhiên, xu hướng gần đây cho thấy căn bệnh này đang có dấu hiệu “trẻ hóa” do ảnh hưởng của lối sống thiếu lành mạnh, đặc biệt là chế độ ăn nhiều đường và chất béo.
Trường hợp của A Minh được đánh giá là lời cảnh báo rõ ràng đối với người trẻ. Khi máu trở nên đặc hơn do dung nạp quá nhiều đường và chất béo, nguy cơ tắc nghẽn không chỉ ảnh hưởng đến mắt mà còn có thể liên quan đến tim và não – những cơ quan phụ thuộc lớn vào hệ tuần hoàn.
Đáng chú ý, thời gian can thiệp hiệu quả đối với “đột quỵ mắt” rất ngắn, chỉ khoảng 40–60 phút kể từ khi xuất hiện triệu chứng. Nếu vượt quá khoảng thời gian này, các tế bào võng mạc có thể bị tổn thương vĩnh viễn do thiếu oxy, dẫn đến mất thị lực không hồi phục. Dấu hiệu nhận biết thường là mắt đột ngột mờ hoặc tối sầm như có màn che, nhưng không kèm cảm giác đau.
Từ thực tế trên, các bác sĩ khuyến cáo người dân cần chủ động bảo vệ sức khỏe thị giác bằng việc duy trì lối sống khoa học. Chế độ ăn nên cân bằng, hạn chế đường tinh luyện và chất béo bão hòa, đồng thời bổ sung rau xanh và thực phẩm có lợi cho mạch máu.
Ngoài ra, cần tránh sử dụng thiết bị điện tử trong môi trường thiếu sáng để hạn chế áp lực lên mắt, áp dụng quy tắc nghỉ ngơi 20-20-20 nhằm giảm căng thẳng thị giác, đồng thời cảnh giác với các dấu hiệu bất thường như mờ mắt thoáng qua. Việc thăm khám định kỳ, kiểm soát mỡ máu và huyết áp cũng đóng vai trò quan trọng trong phòng ngừa các biến cố liên quan đến mạch máu, bao gồm cả những trường hợp nghiêm trọng như “đột quỵ mắt”.
