5 thứ đột nhiên xuất hiện chứng tỏ bệnh K "không rủ cũng tới"
Hãy lưu ý nếu một trong những thay đổi này bỗng dưng xuất hiện mà không rõ nguyên nhân:
Theo Thời báo Văn học Nghệ thuật có bài 5 thứ đột nhiên xuất hiện chứng tỏ bệnh K "không rủ cũng tới". Nội dung như sau:
UT thường không xuất hiện rầm rộ mà tiến triển âm thầm qua những thay đổi nhỏ trên cơ thể. Nhiều người vô tình bỏ qua các dấu hiệu ban đầu, đến khi phát hiện thì bệnh đã ở giai đoạn muộn. Dưới đây là 5 biểu hiện cảnh báo sớm bạn tuyệt đối không nên chủ quan.
1. Nốt ruồi hoặc tổn thương da bất thường

Một nốt ruồi mới xuất hiện, hoặc nốt cũ thay đổi nhanh về màu sắc, kích thước, hình dạng – chính là tín hiệu cảnh báo sớm UT da.
Hãy đặc biệt chú ý nếu bạn nhận thấy nốt ruồi:
Hình dạng không đối xứng, viền méo mó hoặc có đường cong bất thường.
Màu sắc không đều, có sự pha trộn giữa nâu, đen, đỏ.
Đường kính lớn hơn 6mm hoặc liên tục to ra trong thời gian ngắn.
Nhiều người lầm tưởng nốt ruồi “phát triển theo tuổi”, nhưng thực tế, sự thay đổi nhanh chóng này có thể là UT hắc tố – dạng nguy hiểm nhất của UT da. Việc phát hiện sớm và cắt bỏ kịp thời có thể cứu được mạng sống.
2. Vòng bụng tăng nhanh bất thường
Nếu vòng bụng của bạn to lên nhanh chóng dù không ăn nhiều hay giảm vận động, đừng vội cho rằng đó là béo bụng hay giữ nước. Đây có thể là tín hiệu cơ thể đang phản ứng với sự phát triển bất thường bên trong.
Ở một số người, hiện tượng này là do tích tụ dịch hoặc khối u trong ổ bụng, thường gặp ở UT gan, buồng trứng hoặc đại tràng. Cảm giác bụng căng tức, nặng nề, kèm chán ăn, sụt cân, mệt mỏi kéo dài là những dấu hiệu không nên bỏ qua.
Lời khuyên: Hãy đi kiểm tra ngay nếu vòng bụng thay đổi bất thường dù chế độ sinh hoạt vẫn như cũ.
3. Xuất hiện khối sưng hoặc u cục lạ
Bất kỳ khối u hay cục sưng nào xuất hiện đột ngột – dù ở vú, tinh hoàn, cổ, nách hay dưới da – đều cần được kiểm tra y tế. Những khối này có thể mềm hoặc cứng, di động hoặc cố định, có đau hoặc không đau khi chạm vào.
Phần lớn u lành tính, nhưng không thể xác định chính xác nếu không qua thăm khám, siêu âm hoặc sinh thiết. Nhiều người có tâm lý “không đau thì không sao” hoặc chờ xem có tự biến mất không – điều này cực kỳ nguy hiểm, vì UT thường không gây đau ở giai đoạn đầu.
Đừng để sự chủ quan khiến bạn mất đi cơ hội vàng trong điều trị.

4. Rối loạn tiêu hóa, phân có màu lạ

Hệ tiêu hóa là nơi phản ánh rõ rệt nhiều loại bệnh, trong đó có UT dạ dày, đại tràng và trực tràng.
Khi thấy thói quen đại tiện thay đổi kéo dài mà không rõ nguyên nhân (không do thức ăn hay nhiễm khuẩn tạm thời), cần đi kiểm tra ngay.
Cảnh giác khi có các biểu hiện:
Táo bón hoặc tiêu chảy kéo dài nhiều ngày.
Phân lẫn máu, chất nhầy hoặc có màu đen sẫm như bã cà phê – dấu hiệu của chảy máu tiêu hóa.
Rất nhiều người nhầm lẫn triệu chứng này với bệnh trĩ hay rối loạn ăn uống thông thường, đến khi phát hiện thì UT đã ở giai đoạn muộn.
5. Sốt nhẹ kéo dài, đổ mồ hôi đêm không rõ nguyên nhân
Nếu bạn thường xuyên sốt nhẹ dai dẳng, mệt mỏi hoặc đổ mồ hôi nhiều vào ban đêm đến mức ướt áo, ga giường, hãy cẩn trọng. Đây có thể là phản ứng viêm của cơ thể trước sự phát triển của tế bào UT.
Sốt và đổ mồ hôi đêm là triệu chứng phổ biến ở UT máu, u lympho, UT xương hoặc phổi. Điều nguy hiểm là chúng dễ bị nhầm với cảm cúm hoặc stress kéo dài. Nếu triệu chứng không thuyên giảm dù đã nghỉ ngơi và ăn uống tốt, đừng chần chừ đến bệnh viện để kiểm tra.
UT không xuất hiện trong một đêm – nó gửi cảnh báo sớm thông qua những thay đổi nhỏ nhưng rõ ràng. Việc quan sát cơ thể, đi khám định kỳ và kiểm tra khi có biểu hiện lạ chính là cách đơn giản nhất để phát hiện sớm và bảo vệ sức khỏe.
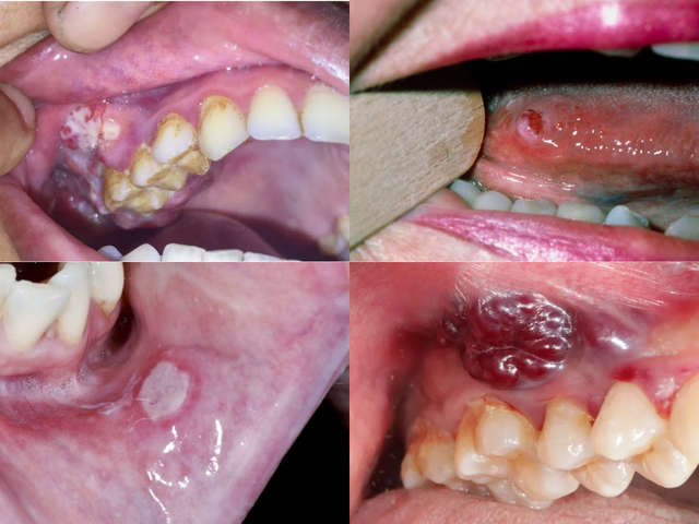
Theo báo Đời sống pháp luật có bài Đi khám nhiệt miệng, người đàn ông bất ngờ nhận "án tử" UT giai đoạn cuối. Nội dung như sau:
Người đàn ông đang được nhắc đến họ Đường, 48 tuổi, sống tại Trung Quốc. Ông đi khám nha khoa vì có vết nhiệt miệng mãi chưa khỏi, đau lan cả sang răng và lưỡi. Thế nhưng bác sĩ kiểm tra một hồi liền khuyên ông nên tới bệnh viện lớn hơn để khám, rất có thể là UT.
Ông Đường vừa tức giận vừa buồn cười. Trong suy nghĩ của ông, nhiệt miệng chẳng có gì nghiêm trọng, bác sĩ đang dọa mình. Có người nhiệt miệng do nóng trong, do thiếu hụt vitamin nào đó, còn ông thì chắc vô tình sứt nướu khi đánh răng. Bởi ông vốn có thói quen chải răng rất mạnh, đây cũng không phải lần đầu bị như vậy.
Bác sĩ bình tĩnh giải thích rồi hỏi ông có thấy vết nhiệt miệng này có gì khác những lần trước. Ông Đường thoáng nghĩ một chút rồi giật mình. Quả thật, đây là vết nhiệt miệng khó chịu và lâu lành nhất ông từng gặp trong đời mình.

Nhờ đi khám nha khoa, người đàn ông phát hiện UT giai đoạn cuối (Ảnh minh họa)
Lúc đầu, ông vô tình nhìn thấy vết nhiệt có màu trắng, sưng lên nhưng không đau nên chẳng để tâm. Khoảng vài tuần sau, nó bắt đầu loét mạnh, đỏ trắng lẫn lộn ở quanh viền và gây khó chịu. Ông Đường cố chịu, chờ chục ngày sau chưa khỏi mới đi mua thuốc. Gần 2 tháng trời, ông dùng từ thuốc bôi, thuốc ngậm sang cả thuốc uống mà không đỡ. Vợ ông còn mua cho ông cả thuốc lá sắc uống, thuốc giải độc gan vì nghĩ "nóng trong" cũng chẳng ăn thua. Vết loét ngày càng sưng và lan ra, chảy dịch hôi, ăn uống khó khăn ông mới chịu tới nha khoa.
Theo lời khuyên của bác sĩ nha khoa, ông Đường tới khoa ung bướu của một bệnh viện trực thuộc Đại học Y Trung Quốc. Kết quả, ông quả thực mắc UT miệng giai đoạn cuối.
Mắc UT vì 3 thứ "không rời miệng"
Bác sĩ phẫu thuật Shi Hao tại bệnh viện này cho biết: "Khối u của bệnh nhân đã ở giai đoạn T4b, là giai đoạn cuối. UT xâm lấn nghiêm trọng vào nền sọ, cơ nhai sau họng và che phủ động mạch cảnh. Trong trường hợp này, tỷ lệ sống sót sau 5 năm sẽ rất thấp, chỉ dưới 20%. Mặc dù hội chẩn đa khoa đã quyết định áp dụng phương pháp phẫu thuật kết hợp xạ trị và hóa trị để duy trì chức năng ăn nhai, nhưng tiên lượng bệnh là vô cùng xấu".
Ông Đường ôm vợ mà khóc nấc lên, nói không khác gì nhận "án tử". Ông hối hận đủ điều dù đã muộn. Hối hận vì xem nhẹ nhiệt miệng lâu lành, hối hận vì không nghe lời vợ đi khám sớm, càng hối hận hơn khi biết nguyên nhân gây UT là 3 thứ "không rời miệng" mình nhiều năm.
Ông Đường hút thuốc (20 năm), uống rượu (gần 20 năm) và nhai trầu (hơn 8 năm). Ông quan niệm "sống chết có số" nên không chịu bỏ thói quen xấu hay đi thăm khám sức khỏe định kỳ.
Cách phân biệt nhiệt miệng thông thường với dấu hiệu UT
Thông qua trường hợp đau lòng của ông Đường, bác sĩ Shi nhắc nhở mọi người không được chủ quan với vết loét khoang miệng. Đặc điểm quan trọng nhất để phân biệt tổn thương lành tính với dấu hiệu UT là tính chất và thời gian tồn tại của vết thương.
Dưới đây là 5 đặc điểm giúp phân biệt vết nhiệt miệng thông thường với UT:
- Thời gian tồn tại: Nhiệt miệng thông thường sẽ tự khỏi sau 1 đến 2 tuần. Tổn thương do UT thường kéo dài nhiều tháng, thậm chí hàng năm, không thuyên giảm. Đây là đặc điểm quan trọng nhất cần ghi nhớ.
- Vị trí tái phát: Nhiệt miệng thông thường có thể tái phát nhiều lần nhưng thường ở các vị trí khác nhau trong miệng. Tổn thương UT có xu hướng lành lại rồi tái phát ở cùng một vị trí ban đầu.

Không nên chủ quan với các vết loét miệng bất thường, có thể là UT (Ảnh minh họa)
- Kết cấu khi chạm: Vết nhiệt miệng lành tính có bờ mềm mại và nông. Vết loét do UT thường có cảm giác cứng, chai, bờ nổi cộm và không bằng phẳng khi sờ vào.
- Chảy máu và dịch: Nhiệt miệng thông thường hiếm khi chảy máu không kiểm soát hoặc chảy mủ. Tổn thương UT thường có màu khác lạ, sưng to, dễ chảy máu hoặc dịch có mùi hôi.
- Triệu chứng toàn thân: Tổn thương UT thường đi kèm với các dấu hiệu toàn thân khác như mệt mỏi, sụt cân không rõ nguyên nhân, sốt kéo dài, hoặc khó khăn khi nhai, nuốt, nói chuyện và cử động lưỡi.

 
                                                             
                                                             
                                                             
                                                             
                                                             
                                                             
                                                             
                                                             
                                                             
                                                             
                                                             
                                                             
                                                             
                                                             
                                                             
                                                             
                                                             
                                                             
                                                             
                                                             
                                                             
                                                             
                                                             
                                                             
                                                             
                                                             
                                                             
                                                             
                                                             
                                                             
                                                             
                                                             
                                                             
                                                             
                                                             
                                                             
                                                             
                                                             
                                                             
                                                             
                                                             
                                                             
                                                             
                                                             
                                                             
                                                             
                                 
                                     
                                     
                                     
                                     
                                     
                                     
                                    