Lần đầu đi lấy cao răng bị chảy máu ồ ạt, bệnh nhân không ngờ bị ung thư máu
Đi lấy cao răng bỗng bị chảy máu không ngừng, chuyển lên tuyến trên, bệnh nhân 32 tuổi bị phát hiện mắc ung thư máu từ lúc nào không hay.
Chuyên trang Phụ nữ số ngày 20/11/2023 đưa tin: "Lần đầu đi lấy cao răng bị chảy máu ồ ạt, bệnh nhân không ngờ bị ung thư máu", nội dung như sau:
Trường hợp một người đi lấy cao răng bất ngờ phát hiện mình bị ung thư máu gây xôn xao mạng xã hội.
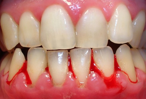
Lần đầu đi lấy cao răng bị chảy máu ồ ạt, bệnh nhân không ngờ bị ung thư máu. (Nguồn: Facebook)
Được biết, đây là ca bệnh tại ĐH Y Dược thuộc ĐH Quốc gia Hà Nội.
Trước đó, bệnh nhân có tiền sử hoàn toàn khỏe mạnh. Sau khi lấy cao răng, bệnh nhân xuất hiện chảy máu nhiều. Đầu tiên bác sĩ nghĩ do viêm lợi. Đến khi bệnh nhân chuẩn bị ra về và vẫn tiếp tục chảy máu, bác sĩ thăm khám lại cho bệnh nhân, rửa oxy già, đặt bông cầm máu nhưng chỉ 5 phút bông đã thấm đẫm máu, máu không ngừng chảy. Các bác sĩ đã thực hiện nhiều phương pháp nhưng tình trạng vẫn không thuyên giảm.
Sau khi hội chẩn, xét nghiệm máu cho bệnh nhân, kết quả cho thấy các yếu tố đông máu bình thường, tiểu cầu hạ thấp nhưng âm tính với sốt xuất huyết.
Ngay sau đó, bệnh nhân được chuyển đến Viện Huyết học và Truyền máu trung ương. Sau khi thực hiện các xét nghiệm tại Viện Huyết học và Truyền máu trung ương, bệnh nhân được chẩn đoán bị ung thư máu.
Lấy cao răng để đảm bảo sức khỏe răng miệng - Chuyên gia khuyến cáo những lưu ý quan trọng
ThS.BS Phạm Quang Tùng (chuyên khoa Răng Hàm Mặt, làm việc tại Hà Nội) cho biết, lấy cao răng là quy trình vệ sinh sạch các vôi răng, mảng bám trên nướu bằng những dụng cụ chuyên biệt. Tình trạng cao răng nhiều, dày không được lấy ra trong thời gian dài có thể khiến bạn dễ mắc bệnh răng miệng, nhiều nhất là viêm nướu răng, dễ phát triển thành viêm nha chu.
Để việc lấy cao răng diễn ra thuận lợi, tránh những vấn đề không đáng có, chuyên gia khuyến cáo một số điều sau:
ThS.BS Phạm Quang Tùng.
- Không đưa dụng cụ lấy cao răng quá sâu. Điều này có thể xảy ra tình trạng chảy máu chân răng. Trong thực tế ghi nhận, nhiều trường hợp bị chảy máu chân răng nhiều là do dụng cụ lấy cao răng được đưa vào quá sâu trong lúc lấy cao răng để răng trắng sáng, sạch mảng bám.
- Đối với những người có tình trạng cao răng quá nhiều thì khuyến cáo tuyệt đối không được nóng vội lấy cao răng quá nhanh. Nên thực hiện chậm rãi, kiên nhẫn đến khi hết sạch mảng bám. Nguyên nhân bởi, nếu mảng bám cao răng nhiều và lấy quá nhanh sẽ gây tổn thương vùng nướu đó..
- Sử dụng các dụng cụ lấy cao răng hợp lý. Chuyên gia lấy ví dụ với mảng bám to, dày, ở những khu vực có nhiều cao răng thì phải dùng dụng cụ lấy cao răng có độ phù hợp tương đương, không thể lấy mũi quá bé, quá mỏng để thực hiện.
- Trong quá trình lấy cao răng, yêu cầu bệnh nhân há miệng vừa phải, phù hợp để lấy. Tuyệt đối không để bệnh nhân há miệng quá rộng, có nguy cơ trượt khớp hàm cao.
Vậy có dấu hiệu nào khi lấy cao răng cảnh báo không bình thường hay không? BS Tùng nhận định để phát hiện các bệnh lý như ung thư máu trong trường hợp trên là chuyện không dễ dàng. Điều quan trọng là trước khi lấy cao răng, bác sĩ cần khai thác tiền sử bệnh nhân có bệnh lý gì hay không để bác sĩ cân nhắc đưa ra phác đồ lấy cao răng cho phù hợp.
Ngoài ra, trong quá trình lấy cao răng, bác sĩ có thể phát hiện một số bệnh lý khác trong khoang miệng như viêm VA, viêm amidan quá phát, viêm họng, viêm tuyến nước bọt.
Làm thế nào để vệ sinh răng miệng đúng cách, đảm bảo hàm răng sạch khỏe?
Chuyên gia chia sẻ những cách giúp duy trì hàm răng sạch khỏe:

1. Đánh răng hàng ngày với tần suất ít nhất 2 lần mỗi ngày vào lúc sau khi thức dậy, trước khi đi ngủ. Nếu có điều kiện, nên đánh răng sau khi ăn khoảng 30-45 phút.
2. Sử dụng kem đánh răng có chứa Fluor hoặc loại kem đánh răng đã được tổ chức y tế khuyên dùng.
3. Sử dụng dụng cụ vệ sinh răng miệng riêng đối với những người đang trong quá trình niềng răng, bọc sứ… hoặc theo hướng dẫn của bác sĩ.
4. Đánh răng đều ở tất cả các mặt của răng, chải răng theo chiều từ trên xuống, từ trong ra ngoài để làm sạch răng.
5. Sử dụng nước súc miệng hoặc nước muối sinh lý 0,9% để làm sạch khoang miệng một cách hiệu quả.
6. Làm sạch kẽ răng, nơi mà bàn chải khó chải tới bằng việc sử dụng chỉ tơ nha khoa hoặc máy tăm nước.
7. Vệ sinh mặt lưỡi bằng mu bàn chải hoặc dụng cụ chuyên dụng để ngăn ngừa vi khuẩn gây bệnh phát triển.
8. Súc miệng nhiều lần sau khi chải răng để làm sạch khoang miệng và hoàn tất quá trình vệ sinh răng miệng khoa học.
9. Sau khi đánh răng xong, nên vệ sinh các dụng cụ kỹ lưỡng và cất ở những nơi thoáng, khô ráo, sạch sẽ.
10. Đánh răng hàng ngày với tần suất ít nhất 2 lần mỗi ngày sau khi thức dậy, trước khi đi ngủ và sau khi ăn khoảng 30-45 phút.
11. Thay mới bàn chải đánh răng khoảng 3 tháng/lần để ngăn ngừa sự tấn công của các vi khuẩn trong lông bàn chải.
Song song với việc vệ sinh răng miệng khoa học, các bạn nên có một chế độ sinh hoạt lành mạnh, hợp lý đóng vai trò thiết thực trong việc bảo vệ và củng cố sức khỏe răng miệng.
Trước đó, chuyên trang Infonet của báo Vietnamnet ngày 18/6/2017 đăng bài: "Chảy máu chân răng: Dấu hiệu cảnh báo bệnh ung thư", nội dung như sau:
Bệnh nhân Nguyễn Phạm Kh. 2 tuổi, trú tại Thanh Hoá trong quá trình điều trị ung thư máu. Bố của bé Kh. tâm sự, con trai anh từ lúc sinh ra đã khoẻ mạnh, ít ốm đau. Đến tháng 3 vừa qua cháu có triệu chứng chảy máu chân răng. Cháu không đánh răng hay chỉ cần va chạm vào cái gì cũng chảy máu.
Vợ chồng anh cho con đi khám ở bác sĩ nhi khoa gần nhà, bác sĩ cho biết cháu bị viêm nha chu và cho thuốc kháng sinh về uống. Tuy nhiên, tình trạng chảy máu chân răng không giảm.
Thậm chí, bé cầm cái hộp thuốc nhỏ cho vào miệng cũng chảy máu không cầm được. Anh chị cho con đi khám tại Bệnh viện Hợp Lực, Thanh Hoá, bác sĩ nghi ngờ bệnh về máu nên giới thiệu Kh. ra ngoài Bệnh viện K trung ương khám. Kết quả, cháu bị ung thư máu.: “Vợ chồng tôi đều không tin vào tai mình vì cháu chưa có biểu hiện gì, chỉ là chảy máu chân răng, ai ngờ đó lại là ung thư”.
Mới đây, một giáo viên dạy tiếng Anh tại Sơn La đã được đưa đến Viện Huyết học – Truyền máu Trung ương trong tình trạng chảy máu chân răng không cầm được.
Bệnh nhân Eldniz (1992), quốc tịch Azecbaijan, được đưa đến Viện trong tình trạng suy nhược cơ thể trầm trọng vì mất máu do chảy máu chân. Tại Bệnh viện đa khoa tỉnh Sơn La, bệnh nhân được chẩn đoán ban đầu nghi ngờ bệnh Lơ xê mi cấp.
Ngay sau các xét nghiệm chuyên sâu, bệnh nhân Eldniz được chẩn đoán bị bệnh Lơ xê mi cấp thể tiền tủy bào (bệnh ung thư máu cấp tính thể tủy) có kèm theo tình trạng "Rối loạn đông máu rải rác trong lòng mạch", đây là bệnh lý nặng nề có thể nguy hiểm tới tính mạng của người bệnh.
Thạc sĩ Vũ Quang Hưng – Phó trưởng Khoa Điều trị hóa chất, Viện Huyết học – Truyền máu trung ương cho biết, chỉ sau 7 ngày điều trị, bệnh nhân Eldniz đã truyền 41 đơn vị máu nhóm máu B, đây là một trong những trường hợp bệnh nghiêm trọng khi chỉ trong một thời gian ngắn đã phải truyền máu.
Theo thạc sĩ Vũ Quang Hưng, các tế bào ung thư máu phát triển trong máu và tủy xương cao, dẫn đến giảm tiểu cầu và hồng cầu, xuất huyết trong, gây mệt mỏi. Đồng thời, bệnh nhân có khả năng bị nhiễm khuẩn và nấm vì tế bào bạch cầu bị suy giảm nghiêm trọng.
Chính vì vậy, bệnh nhân vừa phải truyền máu vừa phải điều trị kháng sinh, thuốc nhắm đích và truyền chế phẩm máu. So với tình trạng ban đầu nhập viện, đến thời điểm hiện tại Eldniz đã qua cơn nguy kịch, tuy nhiên vẫn phải tiếp tục điều trị và thở bằng máy.
Tại Viện Huyết học và truyền máu Trung ương, các bác sĩ từng tiếp nhận trường hợp một nam bệnh nhân (36 tuổi, ở Hòa Bình), ban đầu bệnh nhân xuất hiện một số vết bầm tím trên da, thậm chí mỗi khi đánh răng lại chảy máu chân răng, nhưng không đi bệnh viện khám và điều trị. Khi đến bệnh viện đã quá muộn dù đã được các bác sĩ nỗ lực cứu chữa, nhưng do bệnh quá nặng, xuất huyết não nên đã không qua khỏi do xuất huyết giảm tiểu cầu.
Chính vì thế, các bác sĩ khuyến cáo không nên chủ quan với các dấu hiệu chảy máu chân răng vì nó cảnh báo bệnh nguy hiểm, bệnh lý về máu.
Không chỉ là dấu hiệu cảnh báo nguy cơ mắc ung thư máu, mới đây các nhà khoa học Thụy Điển đã công bố rộng rãi thông tin cho biết chảy máu chân răng cũng có thể là dấu hiệu mắc ung thư vú ở phụ nữ.
Một nhóm các nhà khoa học đến từ Viện Karolinska ở Stockholm đã tiến hành 1 nghiên cứu và cho thấy rằng đối với những người thường xuyên xuất huyết chân răng nguy cơ mắc bệnh ung thư vú cao hơn 11 lần so với những người không có dấu hiệu này.
Kết quả nghiên cứu này từ khi công bố đã gây ra nhiều tranh cãi và nhiều luồng ý kiến trái chiều. Để có thể tìm ra mối liên hệ giữa nguy cơ mắc ung thư với hiện tượng chân răng chảy máu còn cần nhiều nghiên cứu cụ thể.
